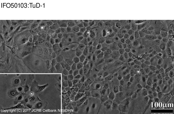
IFO50103 TuD-1

Cell information

Cell type:general cells (View Pricing Information)

JCRB No.   IFO50103 Cell Name   TuD-1
Profile   thymic stroma, keratin-positive, (ACI rat) Other Name   
Animal   rat Strain   ACI
Genus   Rattus Species   norvegicus
Sex   M Age   8-week-old
Identity    Tissue for Primary Cancer   thymus
Case history    Metastasis   
Tissue Metastasized    Genetics   
Life Span   infinite Crisis PDL   
Morphology   epithelial-like Character   thymic stroma, keratin-positive
Classify    Established by   Masuda, A.
Registered by   Masuda,A. Regulation for Distribution   
Comment    Year   1986
Medium   Eagle's minimal essential medium with 10% fetal bovine serum and 1 uM dexamethasone Methods for Passages   trypsin-EDTA
Cell Number on Passage    Race   
CO2 Conc.   5 % Tissue Sampling   thymus, stromal cell
Tissue Type   

Detection of virus genome fragment by Real-time PCR
Detected DNA Virus not tested Detected RNA Virus not tested

Link
Cellosaurus(ExPASy) Cellosaurus (ExPASy) is developed by Amos Bairoch of the CALIPHO group at the SIB - Swiss Institute of Bioinformatics as part of the neXtProt project. Cellosaurus is a knowledge database of cell lines with various information summarized. CVCL_5638
Reference
Pubmed id:2384449Establishment of functional epithelial cell lines from a rat thymoma and a rat thymus.
Masuda A,Ohtsuka K,Matsuyama M
In Vitro Cell Dev Biol. 1990 Jul;26(7):713-21

Images



LOT Information

Viability/Growth rate/Cell number are represented as actual values measured at lot presentation in JCRB, but are not guaranteed values. Additionally, the doubling time is a rough value measured during passages.
Cell No.   IFO50103 Cell Name   TuD-1
LOT No.   1027 Lot Specification   distribution
Medium   E.MEM, 90% ; FBS, 10% ; 1uM dexamethasone Temperature   37 C
Cell Density at Seeding    Methods for Passages   trypsin-EDTA
Doubling Time    Cell Number in Vial (cells/1ml)   6 x 10^5
Viability at cell freezing (%)   97 Antibiotics Used   free
Passage Number   P26 PDL   
Sterility: MYCOPLASMA   - Sterility: BACTERIA   -
Sterility: FUNGI   - Isozyme Analysis   NP, LD
Chromosome Mode    Chromosome Information   
Surface Antigen    DNA Profile (STR)   
Adhesion    Exoteric Gene   
Medium for Freezing   10% DMSO, 20% serum (final conc.) - culture medium CO2 Conc.   
Viability immediately after thawing (%)    Additional information   Lot# is labeled as R248F1027 on vials.
CLOSE