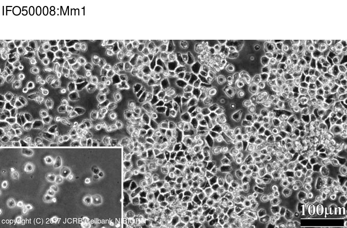
IFO50008 Mm1

Cell information

Cell type:general cells (View Pricing Information)

JCRB No.   IFO50008 Cell Name   Mm1
Profile   spontaneous myeloid leukemia, M-1-derivative, macrophage-like phenotype, (SL mouse) Other Name   
Animal   mouse Strain   SL
Genus   Mus Species   musculus
Sex    Age   
Identity    Tissue for Primary Cancer   hemo-lymphocytic
Case history   spontaneous myeloid leukemia Metastasis   
Tissue Metastasized    Genetics   subline of M-1 mouse leukemia cell line
Life Span   infinite Crisis PDL   
Morphology   macrophage-like Character   spontaneous myeloid leukemia, M-1-derivative, macrophage-like phenotype
Classify   tumor Established by   Maeda, M. & Ichikawa, Y.
Registered by   Tanida,S. Regulation for Distribution   
Comment    Year   1985
Medium   Eagle's minimal essential medium with 10% fetal bovine serum Methods for Passages   Cultures are cooled at 4 C for a few minutes, and then scraped by a gentle pipetting.
Cell Number on Passage    Race   
CO2 Conc.   5 % Tissue Sampling   bone marrow
Tissue Type   

Detection of virus genome fragment by Real-time PCR
Detected DNA Virus not tested Detected RNA Virus not tested

Link
Cellosaurus(ExPASy) Cellosaurus (ExPASy) is developed by Amos Bairoch of the CALIPHO group at the SIB - Swiss Institute of Bioinformatics as part of the neXtProt project. Cellosaurus is a knowledge database of cell lines with various information summarized. CVCL_5557
Reference
Pubmed id:4517230Spontaneous development of macrophage-like cells in a culture of myeloid leukemia cells.
Maeda M,Ichikawa Y
Gan. 1973 Jun;64(3):265-71

Images



LOT Information

Viability/Growth rate/Cell number are represented as actual values measured at lot presentation in JCRB, but are not guaranteed values. Additionally, the doubling time is a rough value measured during passages.
Cell No.   IFO50008 Cell Name   Mm1
LOT No.   1063 Lot Specification   distribution
Medium   E.MEM, 90% ; FBS, 10% Temperature   37 C
Cell Density at Seeding    Methods for Passages   0.025% trypsin-EDTA
Doubling Time    Cell Number in Vial (cells/1ml)   7 x 10^5
Viability at cell freezing (%)   84 Antibiotics Used   free
Passage Number   Unknown (6 at IFO) PDL   
Sterility: MYCOPLASMA   - Sterility: BACTERIA   -
Sterility: FUNGI   - Isozyme Analysis   NP, G6PD, PepB
Chromosome Mode    Chromosome Information   
Surface Antigen    DNA Profile (STR)   
Adhesion    Exoteric Gene   
Medium for Freezing   10% DMSO, 20% serum (final conc.) - culture medium CO2 Conc.   
Viability immediately after thawing (%)    Additional information   Lot# is labeled as R17F1063 on vials.
CLOSE