IFO50005 J-111
Cell information
Important Notice(s)JCRB0073, IFO50005 J-111 is HeLa-derivative / H-111細胞のHeLa細胞汚染
Cell type:general cells (View Pricing Information)
| JCRB No. | IFO50005 | Cell Name | J-111 |
|---|---|---|---|
| Profile | HeLa markers* | Other Name | |
| Animal | human | Strain | |
| Genus | Homo | Species | sapiens |
| Sex | F | Age | |
| Identity | available | Tissue for Primary Cancer | HeLa-contaminant |
| Case history | Metastasis | ||
| Tissue Metastasized | Genetics | HeLa markers observed. | |
| Life Span | infinite | Crisis PDL | |
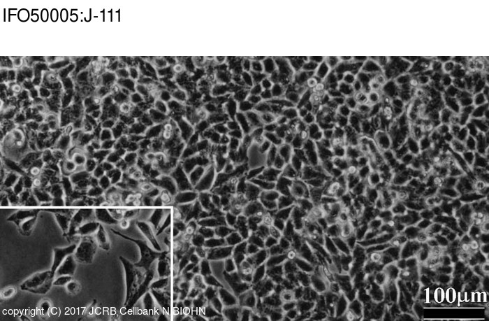
| Morphology | epithelial-like | Character | originally established from acute monocytic leukemia, HeLa-contaminated |
| Classify | tumor | Established by | Osgood, E. E. & Brooke, J. H. |
| Registered by | Takeuchi,M. | Regulation for Distribution | |
| Comment | *Contamination of HeLa cells has been suspected in this line. This cell line is different from the CRL-8129 in ATCC although the name is same. | Year | 1985 |
| Medium | Eagle's minimal essential medium with 10% fetal bovine serum | Methods for Passages | trypsin-EDTA |
| Cell Number on Passage | Race | ||
| CO2 Conc. | 5 % | Tissue Sampling | blood |
| Tissue Type |
| Detection of virus genome fragment by Real-time PCR | |||||||||
|---|---|---|---|---|---|---|---|---|---|
| Detected DNA Virus | not tested | Detected RNA Virus | not tested | ||||||
| Reference | |
|---|---|
| Pubmed id:14185313 | ANIMAL CELL STRAINS. THE CELL CULTURE COLLECTION COMMITTEE HAS ASSEMBLED AND CERTIFIED 23 STRAINS OF ANIMAL CELLS. LEDLEY RS Science. 1964 Oct 9;146(3641):241-3 |
| Pubmed id:13260360 | Continuous tissue culture of leukocytes from human leukemic bloods by application of gradient principles. OSGOOD EE,BROOKE JH Blood. 1955 Oct;10(10):1010-22 |
| Images |
|---|
![]() ![]() ![]() ![]() |
LOT Information
Viability/Growth rate/Cell number are represented as actual values measured at lot presentation in JCRB, but are not guaranteed values. Additionally, the doubling time is a rough value measured during passages.| Cell No. | IFO50005 | Cell Name | J-111 |
|---|---|---|---|
| LOT No. | 74 | Lot Specification | distribution |
| Medium | E.MEM, 90% ; FBS, 10% | Temperature | 37 C |
| Cell Density at Seeding | Methods for Passages | trypsin-EDTA | |
| Doubling Time | Cell Number in Vial (cells/1ml) | 4 x 10^6 | |
| Viability at cell freezing (%) | Antibiotics Used | free | |
| Passage Number | Unknown (>6 at IFO) | PDL | |
| Sterility: MYCOPLASMA | - | Sterility: BACTERIA | - |
| Sterility: FUNGI | - | Isozyme Analysis | NP, G6PD, MD, MPI |
| Chromosome Mode | Chromosome Information | ||
| Surface Antigen | DNA Profile (STR) | ||
| Adhesion | Exoteric Gene | ||
| Medium for Freezing | 10% DMSO, 20% serum (final conc.) - culture medium | CO2 Conc. | |
| Viability immediately after thawing (%) | Additional information |



